Cum gasim de regula un nodul pulmonar?
- radiografie toracica simpla, facuta pentru simptome respiratorii, boli cronice respiratorii, medicina muncii etc. De regula gasim noduli calcificati, de intensitate mare. Atentie: o radiografie toracica efectuata periodic NU este o metoda eficienta de screening al cancerului pulmonar, deoarece majoritatea nodulilor mici nu se vad.
- computer tomograf (CT) toracic realizat in cadrul altui bilant, pre-operator sau din alt motiv. CT-ul toracic cu doza mica de iradiere este o metoda de screening eficienta a cancerului pulmonar la un anumit grup de pacienti: fumatori > 30 PA (fumatori activi sau cu sevraj de <15 ani) cu varsta intre 55-74 ani. Totusi, efectuarea acestui screening va depista noduli non-calcificati la foarte multi pacienti (pana la 20-50%!)[1]. Clar devine o problema majora ce facem in aceasta situatie. Cand este cancer si cand este ceva benign, nesemnificativ?
Inainte de a merge mai departe, exista in principiu trei tipuri de noduli:
- solid
- in "sticla mata" pur
- semisolid (contine si o componenta solida si una in "sticla mata")
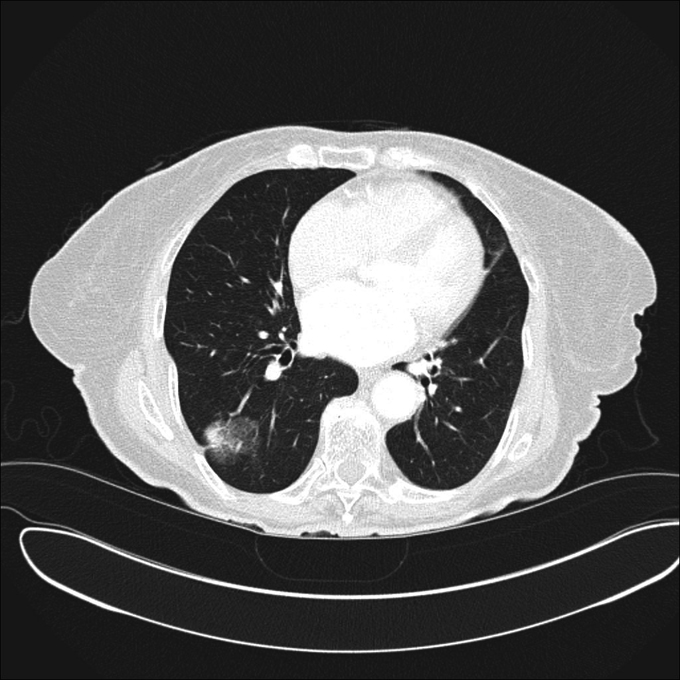
![]() |
| Nodul pulmonar solid. Sursa foto: Medscape.com - Solitary Pulmonary Nodule |
![]() |
| Nodul pulmonar solid care s-a dovedit a fi metastaza de la un cancer de colon. Sursa foto: Medscape.com - Solitary Pulmonary Nodule |
| Nodul in "sticla mata" - adenocarcinom cu crestere lepidica. A se observa tractionarea scizurii. Sursa foto: Référentiel National de Pneumologie - Opacités et Masses Intra-Thoraciques |
![]() |
| Nodul semisolid. Sursa foto: Cleveland Clinic - Pulmonary nodules |
Doar o parte dintre nodulii pulmonari reprezinta un cancer. Urmarind pacientii pe termen lung, s-au putut stabili cateva caracteristici ale nodulilor suspecti, care au un risc mai mare de a fi maligni.
Factori de risc legati de pacient:
- nodul depistat la un barbat
- varsta pacientului > 50 ani
- istoric de fumat (atentie, fara a exista un prag minim al cantitatii de tigari fumate)
- expunere profesionala la carcinogeni recunoscuti: azbest, radon, uraniu
- istoric familial de cancer pulmonar la rude de gradul I
Factori de risc legati de aspectul CT al nodulului:
- diametrul > 1 cm (insa cu cat este mai mare, cu atat riscul este mai mare. De exemplu, in studiul NELSON de screening prin CT doza mica la fumatori intre 50-75 ani, probabilitatea de malignitate a nodulilor > 1 cm a fost de ~ 15% [2])
- conturul spiculat, polilobat, neregulat
- tractioneaza structuri invecinate (ex. scizuri, deformeaza arhitectura parenchimului pulmonar)
- crestere semnificativa in dimensiuni la CT-ul de control (Atentie, chiar si o crestere de 2 mm in 3 luni este sugestiva pentru malignitate => musai masurare foarte riguroasa!!)
- nu are calcificari
- fixeaza semnificativ la PET-CT (tomografie cu emisie de pozitroni)
Ce facem mai departe daca gasim un nodul? Exista recomandari mai clare decat criteriile de mai sus? Ce bilant facem in continuare?
Fleischner society (societate savanta in domeniul imagisticii toracice) a publicat in 2017 o serie de noi recomandari cu privire la urmarirea radiologica a nodulilor pulmonari. Recomandarile iau in considerare dimensiunile, gradul de risc al pacientului, numarul de noduli si caracterul solid/semisolid/"sticla mata" pur.
Recomandarile sunt rezumate in tabelele de mai jos [3]:
Factori de risc:
Un singur nodul solid:
Noduli solizi multipli:
Un singur nodul "sticla mata" pur:
Un singur nodul semisolid:
Noduli semisolizi multipli:
Exista si un calculator online pus la dispozitie de Fleischner Society:
Factori de risc:
| fumat |
| ruda gr. I cu cancer pulmonar |
| expunere la azbest |
| expunere la radon |
| expunere la uraniu |
Un singur nodul solid:
| <6 mm | risc crescut | optional CT la 12 luni |
| risc scazut | fara control CT de rutina | |
| 6-8 mm | risc crescut | CT la 6-12 luni apoi daca nu a evoluat la 18-24 luni |
| risc scazut | CT la 6-12 luni apoi daca nu a evoluat optional si la 18-24 luni | |
| >8 mm | indiferent de risc | bilant diagnostic: +/-PET scan +/- biopsie SAU CT la 3 luni |
Noduli solizi multipli:
| <6 mm | risc crescut | optional CT la 12 luni |
| risc scazut | fara control CT de rutina | |
| 6-8 mm | risc crescut | CT la 3-6 luni apoi daca nu a evoluat la 18-24 luni |
| risc scazut | CT la 3-6 luni apoi daca nu a evoluat optional si la 18-24 luni | |
| >8 mm | risc crescut | CT la 3-6 luni apoi daca nu a evoluat la 18-24 luni |
| risc scazut | CT la 3-6 luni apoi daca nu a evoluat optional si la 18-24 luni |
Un singur nodul "sticla mata" pur:
| <6 mm | fara control CT de rutina |
| >6 mm | CT la 6-12 luni apoi la fiecare 2 ani pana la 5 ani |
Un singur nodul semisolid:
| <6 mm | fara control CT de rutina |
| >6 mm | CT la 3-6 luni apoi daca nu a evoluat si componenta solida <6 mm, CT anual pana la 5 ani |
Noduli semisolizi multipli:
| <6 mm | CT la 3-6 luni apoi optional la 2 ani si 4 ani |
| >6 mm | CT la 3-6 luni apoi urmarire bazata pe cel mai suspect dintre noduli |
Exista si un calculator online pus la dispozitie de Fleischner Society:
http://fleischnerapp.com/fleischner-calculator/fleischner-calculator/
| Evolutia unui nodul pulmonar in "sticla mata": A. la depistare; B. CT la 3 luni; C. CT la 6 luni. Sursa foto: Recommendations for the management of subsolid pulmonary nodules detected at CT: a statement from the Fleischner Society. |
In concluzie, ce facem mai departe?
Daca gasim noduli pulmonari, trebuie intai si intai sa evaluam probabilitatea ca acea leziune sa fie maligna. Datele de mai sus ne ajuta in orientarea initiala.
Daca totul pledeaza catre ceva benign, trebuie sa calmam pacientul, si sa organizam o urmarire adecvata a nodulilor. In multe situatii este necesara repetarea examenului CT, uneori de multiple ori.
Daca gasim noduli pulmonari, trebuie intai si intai sa evaluam probabilitatea ca acea leziune sa fie maligna. Datele de mai sus ne ajuta in orientarea initiala.
Daca totul pledeaza catre ceva benign, trebuie sa calmam pacientul, si sa organizam o urmarire adecvata a nodulilor. In multe situatii este necesara repetarea examenului CT, uneori de multiple ori.
Daca datele pledeaza catre malign, trebuie sa explicam pacientului ca sunt necesare explorari suplimentare. In Romania exista din nefericire putine centre unde se poate efectua PET-CT, desi aceasta metoda poate clarifica in mod neinvaziv care este natura unui nodul pulmonar si extensia bolii. Un nodul care fixeaza la PET-CT are o probabilitate mare de a fi malign. PET-CT poate de asemenea identifica un cancer la distanta (nodulul fiind uneori o metastaza a altui cancer).
Daca probabilitatea de malignitate este mare, este nevoie sa obtinem o proba histologica (prin punctie transtoracica, toracoscopie, bronhoscopie etc.). Alegerea metodei depinde de localizarea imaginii.
In general leziunile din 1/3 externa a campurilor pulmonare sunt accesibile punctiei transtoracice ghidate CT sau ecografic (daca leziunea are contact cu pleura).
Leziunile din 1/3 interna a campurilor pulmonare pot fi uneori accesibile prin bronhoscopie. Chiar daca nu par a fi accesibile, bronhoscopia ar trebui sa fie sistematica, eventual identificand o alta leziune mai proximala, usor de biopsiat.
Leziunile din 1/3 medie a campurilor pulmonare necesita de regula toracoscopie.
Managementul unui nodul pulmonar este complicat. Totusi, avand in vedere ce s-a mentionat mai sus, putem sa alegem o conduita de urmat. Ideea e sa nu facem proceduri invazive si riscante daca nu este necesar. Totusi, daca avem dubii, nu trebuie sa ezitam sa trimitem pacientul catre un centru capabil sa faca un bilant complet.
Mai multe detalii:
1. Walter JE, Heuvelmans MA, Oudkerk M. Small pulmonary nodules in baseline and incidence screening rounds of low-dose CT lung cancer screening. Translational Lung Cancer Research. 2017;6(1):42-51. doi:10.21037/tlcr.2016.11.05.2. Horeweg N et al. Lung cancer probability in patients with CT-detected pulmonary nodules: a prespecified analysis of data from the NELSON trial of low-dose CT screening. The Lancet Oncology. 2014; DOI: https://doi.org/10.1016/S1470-2045(14)70389-4
3. Radiopaedia.org - Fleischner society pulmonary nodule recommendations
4. (FR) Référentiel National de Pneumologie - Opacités et Masses Intra-Thoraciques
5. (EN) Cleveland Clinic - Pulmonary nodules
6. (EN) Medscape.com - Solitary Pulmonary Nodule


